ホワイトニング
- ホワイトニングは口腔内の状態が安定していることが必要です。むし歯・歯周病などがある場合は、治療完了後に行います。
- 一時的に知覚過敏が起こることがあります。
- ホワイトニングは自由診療です。
歯を白くしたい
歯の黄ばみが増した気がする
自然な白さの歯にしたい
歯の黄ばみは、食生活や年齢、遺伝などによって起こります。
中目黒ゲートタウン歯科室では歯を削ることなく、専用の薬剤で白さを取り戻す方法をご提案しています。
ホワイトニングは2種類で、歯科医院にて短時間かつラクに行える「オフィスホワイトニング」と、ご自宅にて自分のペースでできるコスパのよい「ホームホワイトニング」があります。
ご希望の白さや金銭面、歯の状態やライフスタイルによってもベストな方法が違うので、歯の色が気になる方はお気軽にご相談ください。
短時間で白くできる中目黒ゲートタウン歯科室のホワイトニング
一般的な薬剤より濃度が濃いので、短時間でしっかり白くできる「ウルトラデントのブースト」を使用しています。
光照射器「ズーム」を併用することでよりスピーディに仕上がります。
「これまでのホワイトニング剤で白くならなかった」という方にもおすすめな方法です。
オフィス・ホーム両方取り扱っております。しっかりと事前の説明、記録を行なっているため不安な方もご安心ください。
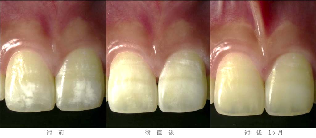
また、ホワイトスポットと呼ばれる歯の白斑を目立たなくする治療もございます。
ホワイトスポット治療(アイコン)
ホワイトスポット(歯の表面の白く濁ったようなシミ、白斑)を削らずに、目立たなくします。
※保険適応外です
ホワイトニングの料金
| 項目 | 価格(税込) |
|---|---|
| ホームホワイトニング 上下顎 | 38,500円 |
| オフィスホワイトニング 6本前歯 | 18,150円 |
| デュアルホワイトニング | 51,150円 |
| ガムブリーチ 片顎 | 5,720円 |
| ウォーキングブリーチ 一本 | 11,000円 |
| ホワイトスポット治療 | 38,500円 |